
CONCIERGE CARE WITH THE MOST PERSONAL TOUCH
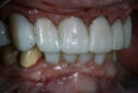
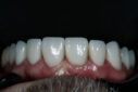
This is a case I’m incredibly proud of and flattered that this person trusted me with his case. Our patient, Dave, lives full time in Michigan and sought us out for his care. He knew that he had neglected his teeth for many years and when he called down to our office he basically just said “please fix me”. His dentist back in Michigan wouldn’t treat his teeth because he didn’t feel comfortable with the complexity of the care that was needed. We developed a master blueprint for the outcome we wanted to achieve for Dave, and then executed it over a total of 3 trips to our office. While he traveled between states, he reported that he had absolutely no issues with the temporary smile design or pain in any teeth. We were able to save EVERY SINGLE ONE of Dave’s teeth through a customized approach using our rehabilitative techniques.
BEFORE
AFTER
Our Core Values
To Wish Well, To Want, To Be Willing
To Wish Well: We believe that dental care is integral to overall physical health and, in many cases, confidence. Through our high level of personalized service and care, we give our clients a concierge dental experience and even more reasons to enjoy lasting smiles and oral health.
To Want: It is our desire to nurture and build long-term relationships with our clients based on care, trust, and a high-touch experience.
To Be Willing: We go out of our way to practice peer-reviewed and scientifically supported techniques to improve the health and aesthetics of our clients’ smiles.

Our Core Values
To Wish Well, To Want, To Be Willing
To Wish Well: We believe that dental care is integral to overall physical health and, in many cases, confidence. Through our high level of personalized service and care, we give our clients a concierge dental experience and even more reasons to enjoy lasting smiles and oral health.
To Want: It is our desire to nurture and build long-term relationships with our clients based on care, trust, and a high-touch experience.
To Be Willing: We go out of our way to practice peer-reviewed and scientifically supported techniques to improve the health and aesthetics of our clients’ smiles.
What makes your experience unique/extraordinary?
There is nothing “ordinary” about Velle Dental.
- We work with you – We believe in comprehensive and collaborative dental care that is as unique as you are.
- We understand – No matter what your experience or situation, we’re here to help, not judge.
- We care – Your health and your happiness are equally important to us.

What makes your experience unique / extraordinary?
There is nothing “ordinary” about Velle Dental.
- We work with you – We believe in comprehensive and collaborative dental care that is as unique as you are.
- We understand – No matter what your experience or situation, we’re here to help, not judge
- We care – Your health and your happiness are equally important to us.










































