
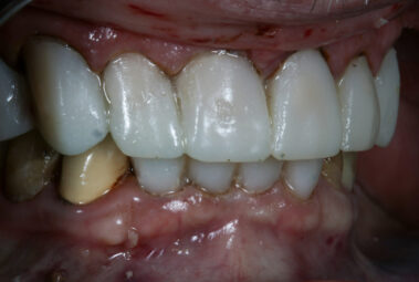
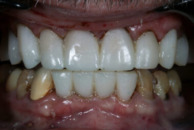
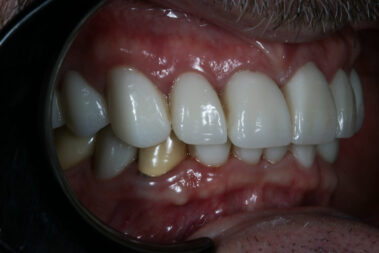
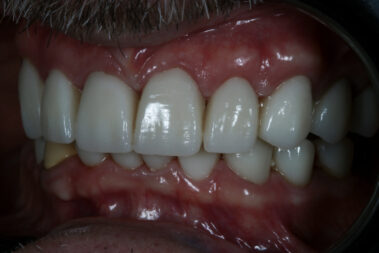
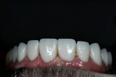
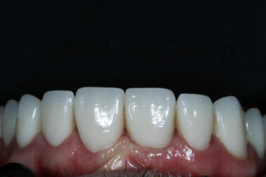
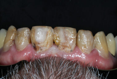
This is a case I’m incredibly proud of and flattered that this person trusted me with his case. Our patient, Dave, lives full time in Michigan and sought us out for his care. He knew that he had neglected his teeth for many years and when he called down to our office he basically just said “please fix me”. His dentist back in Michigan wouldn’t treat his teeth because he didn’t feel comfortable with the complexity of the care that was needed. We developed a master blueprint for the outcome we wanted to achieve for Dave, and then executed it over a total of 3 trips to our office. While he traveled between states, he reported that he had absolutely no issues with the temporary smile design or pain in any teeth. We were able to save EVERY SINGLE ONE of Dave’s teeth through a customized approach using our rehabilitative techniques.
























